かかりつけ医の「専門口腔管理」
一人ひとりの口腔内リスクに対応した
予防プログラムを実践
むし歯や歯周病などの歯のトラブル予防には、毎日の口腔環境の正常化が必要です。長期的に歯の健康を維持するために、一人ひとりの口腔内リスクを検証し、正しいメンテナンスを行うことが重要なのです。当院では、患者様に合わせて専門的な予防プログラムを実践し、メンテナンス習慣を定着させるために治療を行っています。
総合的な口腔機能を守るための治療
カリオロジーとペリオロジーを
融合した予防歯科
当院では、むし歯と歯周病の両面を予防するシステムを実践しています。口腔内のリスクを、詳細な分析で検証し、患者様と治療方針を共有して、二人三脚で予防歯科治療を行なっていきます。正常な口腔環境をゴールとして、総合的な機能改善を目的としています。
MTM
患者様の口腔状態に合わせて
定期的なメンテナンスを習慣化
MEDICAL TREATMENT MODEL
一人ひとりの口腔内リスク予防
専門的な予防歯科プログラム
当院では、患者様の口腔管理を専門的に行うメディカルトリートメントプログラム(MTM)を実践しています。口腔内を検査し、科学的にリスク分析を行い、口腔内の現状を患者様と共有し、治療方法を決定していきます。専門的な口腔ケアを施し、歯の健康を長期にわたって維持出来るように取り組みを行っています。
3ヶ月に1回の通院メンテナンスを
おススメします!


左右にスライドさせてご覧ください
-
予防フェーズ.1
口腔環境の把握
口腔内写真やレントゲンでの確認、唾液検査、食生活調査など専門的な検査を行います。
-
予防フェーズ.2
口腔治療の策定と実践
歯科衛生士によって口腔衛生を良くする初期治療を行い、予防治療と治療経過観察を繰り返して、口腔環境を整えていきます。
-
予防フェーズ.3
専門治療を実践
PMTC、スケーリングなどサポーティブペリオドンタルセラピーや、むし歯、歯周病予防の専門治療を行っていきます。
-
予防フェーズ.4
メンテナンス
治療後のカウンセリングや治療経過観察を行うとともに、生活指導やブラッシング指導にて長期的な維持に努めていきます。
数十年の健康を創る専門口腔管理
予防歯科は、歯を磨く・キレイにするというメンテナンスだけではなくなってきています。 口腔内の粘膜や機能を守り、歯を削らず、抜かずに長期的に残していくために様々な検査や治療、習慣を見直すことが必要です。当院では、患者様の口腔内の状態に合わせて治療を行っていきます。
予防プログラム
01
口腔環境の把握
レントゲン写真の定期的診断の重要性
口腔内の現状を把握するために、当院では、徹底的に検査やヒアリングを行います。レントゲン写真で定期的に診断し、分析結果を資料に落とし込むことで、口腔内の現状を即座に知ることができ、数十年後を予見した治療計画を立てれることができます。
-

口腔内写真
あらゆる角度から口腔内を撮影し、見た目の現状把握を行っていきます。
-

パノラマレントゲン撮影
レントゲン撮影を行い、過去の治療跡や現状の歯並びまで検証できるように精緻に撮影していきます。
-

唾液検査(サリバテスト) ¥3,000(税別)
口腔内の常在菌の状態を検査し、むし歯・歯周病リスク度や歯の再石灰化など検査し、口腔状態を把握していきます。
-

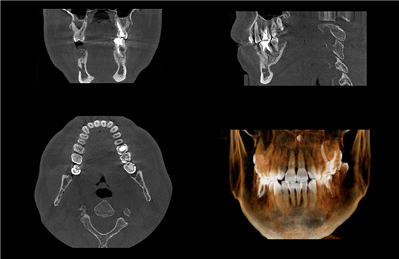
CT撮影
3Dデジタルで歯の内部や顎の骨の状態など様々な角度から検証し、症状を診断します。
-

顕微鏡検査
位相差顕微鏡で、プラーク(汚れ)を少量採取し、歯周病の原因となる細菌などがお口の中にいるかどうかを調べます。
-

口腔内診断・生活指導
口腔内診断で、現状のお口の中の状態を調べ、食生活や健康状態など生活習慣をヒアリングし、予防治療に役立てていきます。
唾液検査 -サリバテスト-
むし歯の原因から治療する
唾液を調べると、むし歯の原因が分かります。お口の中のむし歯菌(ミュータンス菌)の数、むし歯を進行させる菌(ラクトバチラス菌)、そして、唾液による自浄作用がどれくらいあるかを調べることで、むし歯予防ができ、正常な口腔内を創ることができます。
-

むし歯の把握
むし歯や進行度などを予測し、むし歯になりにくいように予防を行います。
-

口腔環境の数値化
むし歯や進行度などを予測唾液を分析し、口腔内の自浄、抗菌、消化、粘膜修復作用など機能状態を検査します。
-

生活習慣指導
食生活習慣をリスク起因を考え生活指導を行い、口腔衛生状態を健康に保ちます。
唾液検査の流れ
-

唾液量を採取
5分ほどパラフィンワックスを噛み、唾液を採取し、専用の機械で唾液量を調べます。
STEP 01
-

検査紙で識別
検査紙に唾液を乗せ、色の変化を調べ、唾液の力を検証します。
STEP 02
-

検査棒で菌を把握
検査棒を下に当て、むし歯菌やむし歯を進行させる菌の数を調べます。
STEP 03
-

検査結果と予防策定
検査結果に基づいて、患者様ごとに予防施術の策定を行います。
STEP 04
予防プログラム
02
口腔治療の実践と策定
専門的な口腔衛生維持と定期健診
歯科でしかできない専門家による専門的な予防治療を定期的に行います。口腔衛生の維持を行うプロフェッショナルクリーニングを行い、むし歯、歯周病予防のためにフッ素塗布やデンタルフロスで健康な状態を保ちます。
-

PMTC
プロフェショナルクリーニング
PMTCは、専門器具を用いた歯のクリーニングです。専門の口腔清掃器で、歯と歯の間、歯と歯ぐきの間など、汚れがたまりやすい場所をキレイにし、口腔内を正常な状態に導きます。
-

フッ素塗布
歯の再石灰化を促す作用があるフッ素を歯の表面に直接塗布し、虫歯に強い歯を作ることで、むし歯予防を行います。
-

デンタルフロス
(歯間ブラシ)
歯ブラシでは磨けない歯と歯の間の清掃には、デンタルフロスや歯間ブラシを使用し、歯の隙間の汚れを取り、歯周病予防を行います。
-

エアフロー
EMS社のエアフロー プロフィラキシス マスターを導入し、パウダークリーニングを開始しました。非常に細かなパウダー粒子をジェット噴射で歯に吹き付け、歯茎や資質を傷つけずに、歯にこびりついた汚れや歯周ポケット内の歯周病の細菌除去をスムーズに行うことができます。甘い風味と穏やかなパウダーのため快適に完了します。従来の歯石除去の音や痛みが苦手な方、知覚過敏がひどい方や、口腔内にインプラントやセラミックがある方にお薦めです。

専門家による予防カウンセリングと治療方針の決定
口腔内の様々な検査により、予防治療の方針を患者様と共有しながら決定していきます。その後、どのような治療を行うかをお伝えし、歯科衛生士、ドクターと共に、定期的に口腔衛生維持における予防プログラムを実践していきます。
予防プログラム
03
予防専門治療
予防の専門的治療を実践
カリオロジー(虫歯予防)とペリオロジー(歯周病予防)を融合した予防専門治療を行います。口腔衛生の維持による、専門的な歯石除去と常在菌の安定化を行い、普段取り切れないところの汚れを落とします。
-
プロフェショナルクリーニング
口腔清掃

PMTC(プロフェッショナルクリーニング)で、口腔内の衛生状態を保ち、口腔細菌への感染を予防します。
-
スケーリング
歯石除去

歯周ポケットは歯ブラシが届かないので、専用のスケーラーという器具を使い、ポケットの中の歯石を除去します。
-
ルートプレーニング
歯根面の研磨

歯根表面の汚れを取り除き滑らかにして、歯石が溜まりにくい状態になるよう、ツルツルにします。
SPT
サポーティブペリオ
ドンタルセラピー SPT
口腔衛生安定のための専門口腔管理
スケーリング(scaling)スケーラーと呼ばれる器具を使用して行う、主に歯の表面の歯石やバイオフィルム(細菌の塊)を除去する処置と、ルートプレーニング(root planing)という歯周ポケット内部や側面の歯石を除去する処置、歯の根(root)を硬く滑らかに(planeに)する処置を行い、むし歯・歯周病予防を徹底します。
予防プログラム
04
メンテナンス
メンテナンスの習慣を定着
口腔内の衛生状態を維持するために、定期的なメインテナンスや生活習慣の改善、ブラッシングケアを行うことが大切です。むし歯、歯周病の原因となる細菌性プラークを常に取り除いた状態で、口腔内の衛生環境の向上を目指していきます。
-


歯磨き指導
正しいブラッシングを歯科医院で習い、毎日の歯のメインテナンスをご自宅でできるように指導します。
-


口腔内チェック
定期的に健診を受けていただき、口腔粘膜や唾液を検査し、歯周組織が正常な状態かをチェックし、予防に備えます。
-


食生活指導
食生活を見直し、むし歯になりやすい糖分摂取量や摂取する時間など歯に影響を与える習慣を伝え、毎日の予防に努めます。
-


生活習慣改善
ストレスや喫煙が原因で歯周病になることも多いので、口臭や血流、唾液の機能などを検査し、生活習慣の見直しを指導します。
口腔形成維持のための
メンテナンス
PRICE
医療法人おおしろ歯科医院
京都市右京区太秦下刑部町182
コリドール天神川1F
右京区役所向かい(地下鉄太秦天神川駅前)
075-882-0046
※予約制・予約優先・急患新患随時対応
駐車場完備2台
| 診療時間 | 月 | 火 | 水 | 木 | 金 | 土 | 日 |
|---|---|---|---|---|---|---|---|
| 9:30〜13:00 | ー | ー | |||||
| 14:30〜19:00 | ◎ | ー | ◎ | ー |
※木曜・日曜・祝日休診
※火曜・金曜の午後(◎)は20:00までの診療です。
※祝日のある週の木曜日は診療いたします。


